COVID-19 CXR Analyzer - Under Construction

More Info

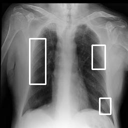
Image for analysis

Results

Sorry this app is now offline.

---

Please submit a jpg or png image,
then click Analyze.